HOME
当院について
医院理念
滅菌方法について
施設紹介
託児について
Myobrace Member
スタッフ紹介
院長
副院長
スタッフ紹介
一般歯科
一般歯科について
診療メニュー
歯周病治療
大人の予防歯科
パウダーメンテナンス
小児歯科
小児歯科について
診療メニュー
小学生までの矯正
こどもの矯正について
マイオブレイス矯正
インビザラインファースト
治療事例
中学生以降の矯正
インビザライン
治療事例
治療事例
お役立ち記事
その他
アクセス
お知らせ
採用情報
当院について
医院理念
滅菌方法について
託児について
施設紹介
Myobrace Member
アクセス
スタッフ紹介
院長
副院長
スタッフ紹介
一般歯科
一般歯科について
診療メニュー
歯周病治療
大人の予防歯科
パウダーメンテナンス
小児歯科
小児歯科について
診療メニュー
小学生までの矯正
小学生までの矯正
小学生の
マイオブレース矯正
小学生の
インビザラインファースト
治療事例
中学生以上の矯正
中学生以上の矯正
インビザライン
中学生以上の
治療事例
治療事例
2期治療のみ
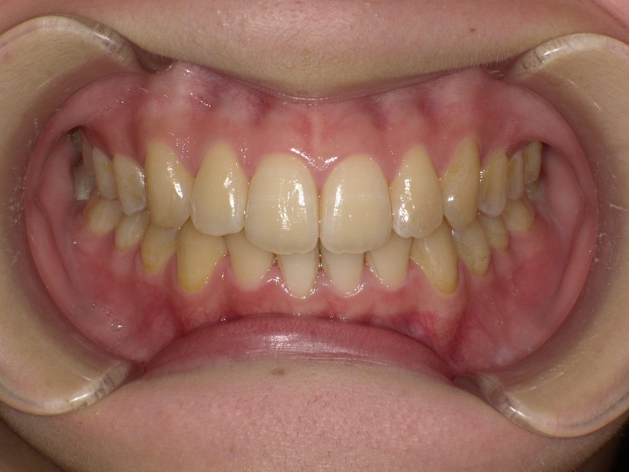
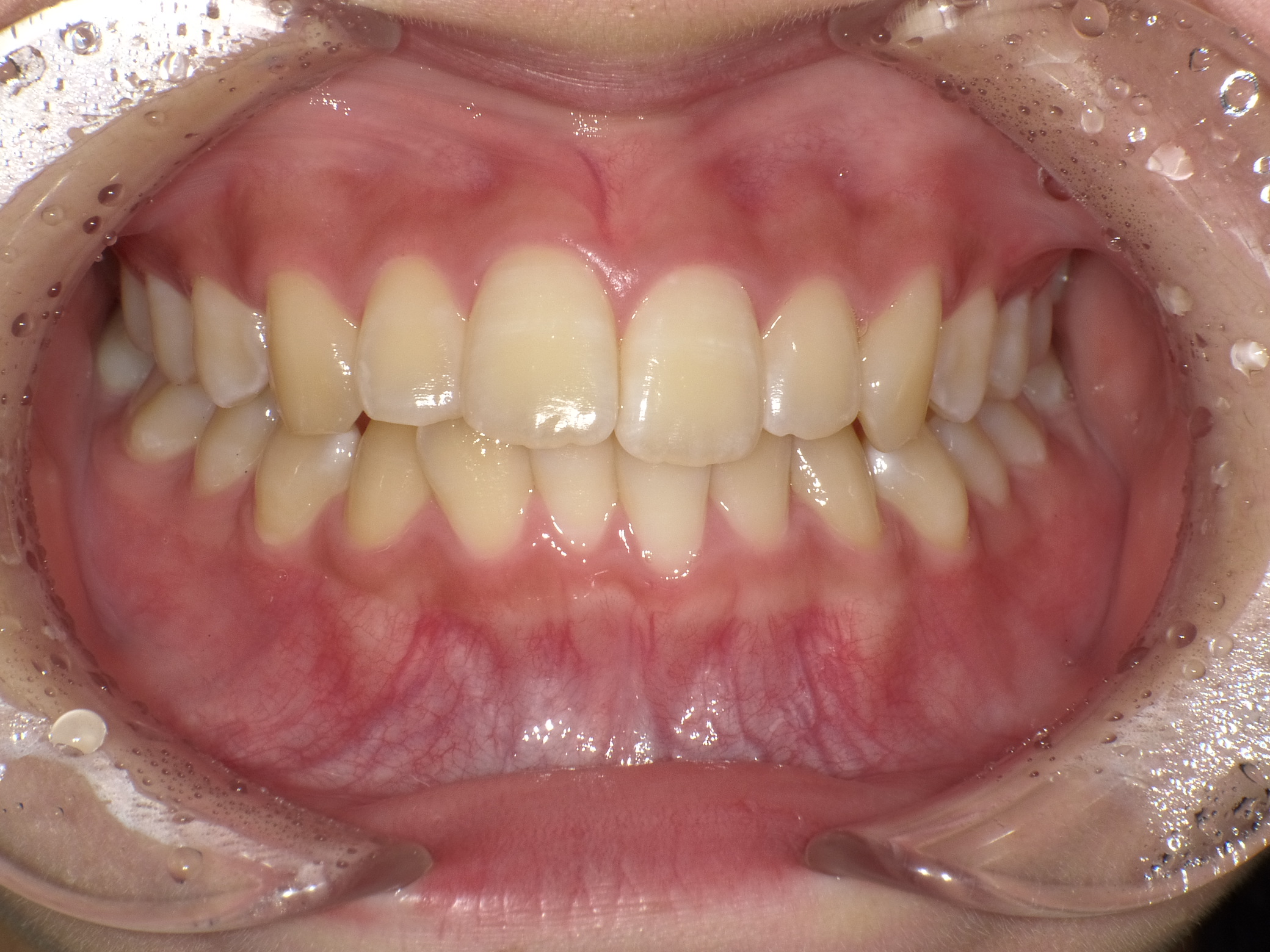
【大学生】インビザラインフル 叢生(ガタガタ)を改善
Before
After
中学生以降
インビザライン フル
でこぼこ
非抜歯
2期治療のみ
詳しく読む
【中学生】インビザライン矯正 上顎前突(出っ歯)を改善
Before
After
中学生以降
インビザライン フル
出っ歯
過蓋咬合
非抜歯
2期治療のみ
詳しく読む
【大学生】インビザラインフル 叢生(ガタガタ)を改善
Before
After
中学生以降
インビザライン フル
でこぼこ
非抜歯
2期治療のみ
詳しく読む
【小学生】10歳 インビザライン矯正 叢生(でこぼこ)と咬み合わせのズレ を改善 MAを利用
Before
After
小学生で開始
インビザライン フル
でこぼこ
非抜歯
2期治療のみ
詳しく読む
【中学生】インビザライン矯正 叢生(ガタガタ)と上顎前突(出っ歯)を改善
Before
After
中学生以降
インビザライン フル
でこぼこ
出っ歯
非抜歯
2期治療のみ
詳しく読む
«
1
2
3
»
カテゴリー
新着
小学生で開始
中学生以降
マイオブレース
インビザライン ファースト
インビザライン フル
でこぼこ
出っ歯
受け口
開咬
過蓋咬合
その他(すきっ歯、異所萌出など)
抜歯
非抜歯
1期治療のみで改善
1期治療+2期治療
2期治療のみ
マイオブレース矯正について
インビザライン矯正について
小学生までの矯正について