お役立ち記事
お知らせ
採用情報
熊本県熊本市中央区の大人と子どもの診療室-ひかる歯科ちえこども歯科へのお問い合わせ電話番号
治療事例
治療事例

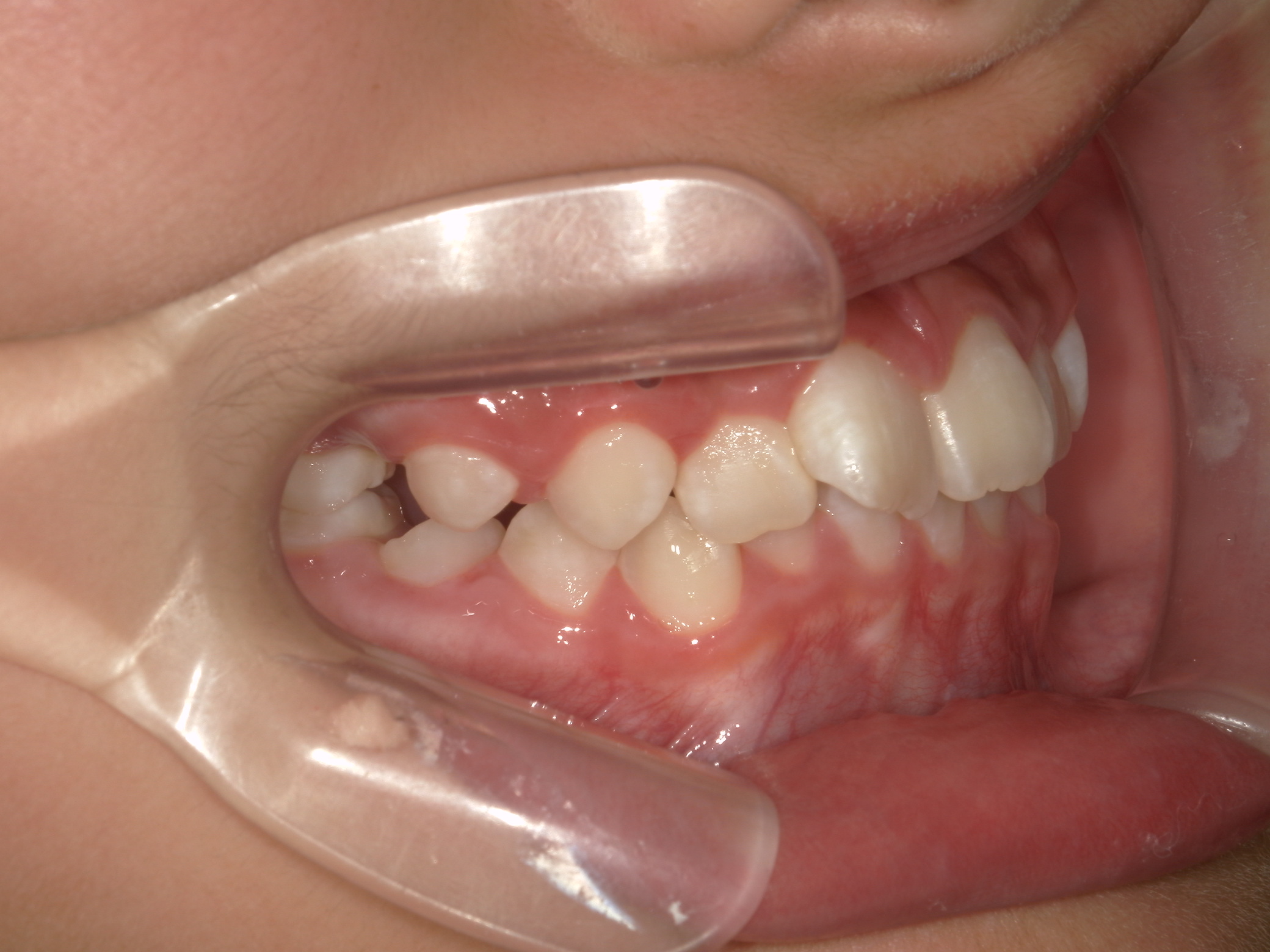
【小学生】10歳 インビザライン矯正 叢生(でこぼこ)と咬み合わせのズレ を改善 MAを利用

Before
After
治療期間
1年
治療開始
10歳
種類
インビザライン矯正
使用装置
インビザラインフル
コメント
右側の奥歯のかみ合わせにずれがあり、右側第一大臼歯を遠心に移動させているのと
インビザラインのMAという機能を使って 下顎の位置を改善しています。

もともとは歯科に対して苦手意識があり、非協力だったため、矯正治療は希望されていませんでしたが、
本人の希望もあり、矯正を開始されました。

協力状態はよく、1年で終了しました。

次は妹さんの治療を希望されています。

インビザラインの治療期間は それぞれの歯並びを治す難易度にもよりますが、なにより患者さん本人の装置装着の時間がかなり影響します。
この患者さんは装着時間をしっかり守ってくれたので1年で終了しています。

小学生ですが、全て永久歯になっていたため インビザラインファーストが適用できず
インビザラインフルで治療しています。

インビザラインファーストと インビザラインフルでは 期間と費用が異なります。

矯正治療についての注意事項

  • 治療経過は個人によって異なり、治療期間、治療に使用する装置も異なります。
  • 矯正治療中は虫歯や歯周病のリスクが高まることがありますので丁寧にブラッシングを行っていただく必要があります。
  • また、矯正治療においては、歯茎がやせて、歯茎が下がる(歯肉退縮)可能性もあります。
  • もともと、歯周病があったり、歯並びの凹凸が大きいと発症しやすい傾向にあります。
  • また、希ではありますが、歯根吸収(歯の根が短くなる)や歯の神経に問題がでるといったことが起ることもあります。

ひかる歯科ちえこども歯科で小児矯正(1期治療)をすると

  1. 永久歯を抜かずに矯正できる確率が上がります。
  2. 上下の顎の成長バランス(骨格)を整えるため、お顔立ちにも良い影響が与えられます。
  3. お口の癖を治すことで(口腔機能改善)上下顎の成長をよい成長方向の軌道に乗せることができます。
  4. お口の癖を治すこと(口腔機能改善)にしっかり取り組むため、矯正後の歯並びの後戻りが少ないです。