HOME
当院について
医院理念
滅菌方法について
施設紹介
託児について
Myobrace Member
スタッフ紹介
院長
副院長
スタッフ紹介
一般歯科
一般歯科について
診療メニュー
歯周病治療
大人の予防歯科
パウダーメンテナンス
小児歯科
小児歯科について
診療メニュー
小学生までの矯正
こどもの矯正について
マイオブレイス矯正
インビザラインファースト
治療事例
中学生以降の矯正
インビザライン
治療事例
治療事例
お役立ち記事
その他
アクセス
お知らせ
採用情報
当院について
医院理念
滅菌方法について
託児について
施設紹介
Myobrace Member
アクセス
スタッフ紹介
院長
副院長
スタッフ紹介
一般歯科
一般歯科について
診療メニュー
歯周病治療
大人の予防歯科
パウダーメンテナンス
小児歯科
小児歯科について
診療メニュー
小学生までの矯正
小学生までの矯正
小学生の
マイオブレース矯正
小学生の
インビザラインファースト
治療事例
中学生以上の矯正
中学生以上の矯正
インビザライン
中学生以上の
治療事例
治療事例
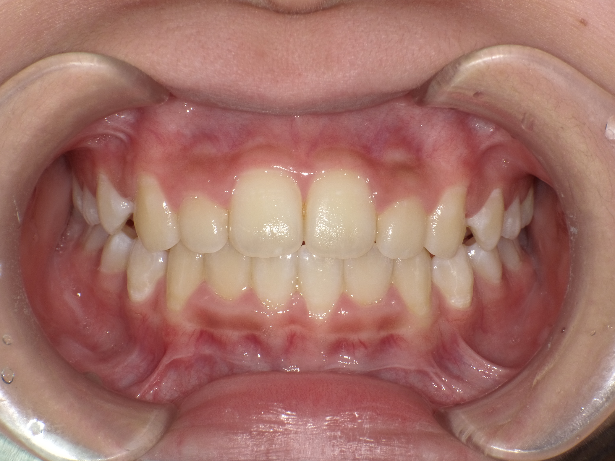
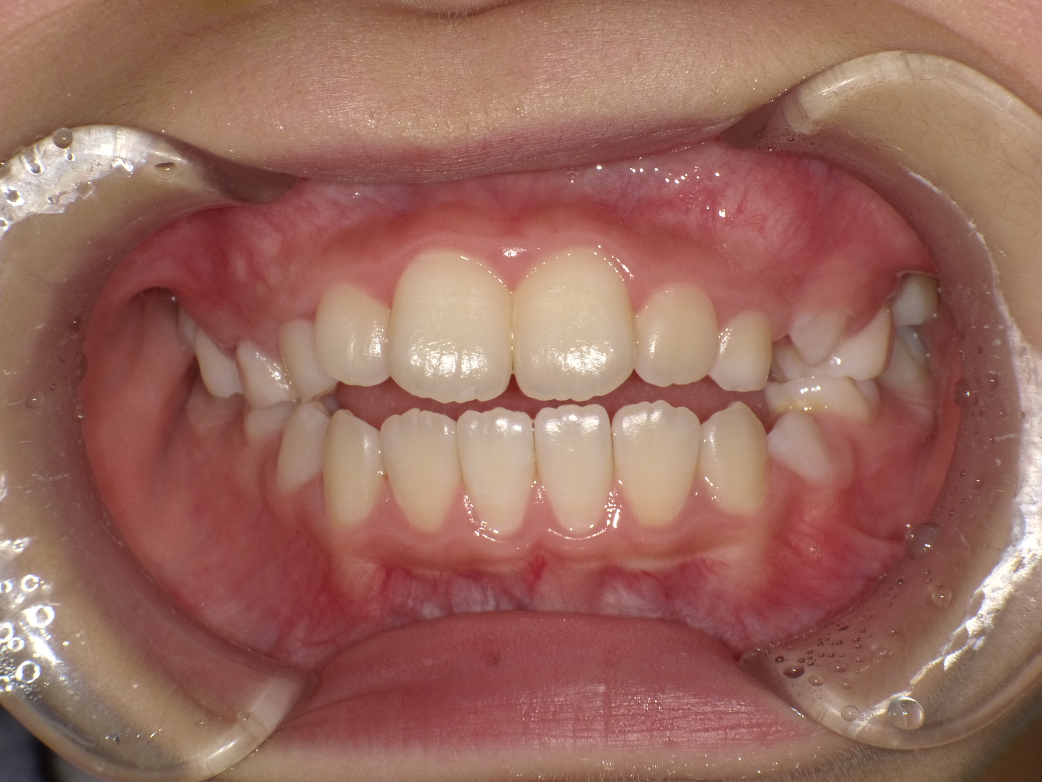
開咬
【小学生】マイオブレース矯正 開咬を改善
Before
After
小学生で開始
マイオブレース
出っ歯
開咬
非抜歯
1期治療のみで改善
詳しく読む
【小学生】8歳 インビザライン矯正 叢生(でこぼこ)と反対咬合を改善
Before
After
小学生で開始
インビザライン ファースト
でこぼこ
受け口
開咬
非抜歯
1期治療のみで改善
詳しく読む
【小学生】8歳 マイオブレース矯正 開咬(オープンバイト)を改善
Before
After
小学生で開始
マイオブレース
開咬
非抜歯
1期治療のみで改善
詳しく読む
【小学生】マイオブレース矯正➡ 【中学生】インビザラインフル 受け口 と 開咬 を改善
Before
After
小学生で開始
中学生以降
マイオブレース
インビザライン フル
でこぼこ
受け口
開咬
非抜歯
1期治療+2期治療
詳しく読む
カテゴリー
新着
小学生で開始
中学生以降
マイオブレース
インビザライン ファースト
インビザライン フル
でこぼこ
出っ歯
受け口
開咬
過蓋咬合
その他(すきっ歯、異所萌出など)
抜歯
非抜歯
1期治療のみで改善
1期治療+2期治療
2期治療のみ
マイオブレース矯正について
インビザライン矯正について
小学生までの矯正について