HOME
当院について
医院理念
滅菌方法について
施設紹介
託児について
Myobrace Member
スタッフ紹介
院長
副院長
スタッフ紹介
一般歯科
一般歯科について
診療メニュー
歯周病治療
大人の予防歯科
パウダーメンテナンス
小児歯科
小児歯科について
診療メニュー
小学生までの矯正
こどもの矯正について
マイオブレイス矯正
インビザラインファースト
治療事例
中学生以降の矯正
インビザライン
治療事例
治療事例
お役立ち記事
その他
アクセス
お知らせ
採用情報
当院について
医院理念
滅菌方法について
託児について
施設紹介
Myobrace Member
アクセス
スタッフ紹介
院長
副院長
スタッフ紹介
一般歯科
一般歯科について
診療メニュー
歯周病治療
大人の予防歯科
パウダーメンテナンス
小児歯科
小児歯科について
診療メニュー
小学生までの矯正
小学生までの矯正
小学生の
マイオブレース矯正
小学生の
インビザラインファースト
治療事例
中学生以上の矯正
中学生以上の矯正
インビザライン
中学生以上の
治療事例
治療事例
治療事例
【小学生】 8歳 マイオブレース矯正 + インビザライン矯正 叢生(でこぼこ)を改善
小学生で開始
マイオブレース
インビザライン フル
非抜歯
1期治療+2期治療
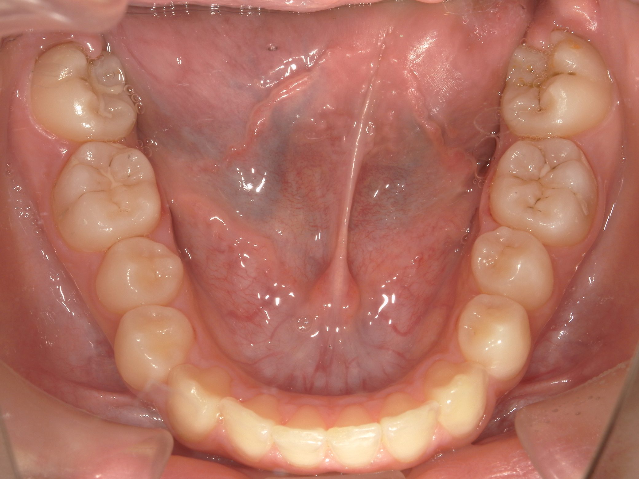
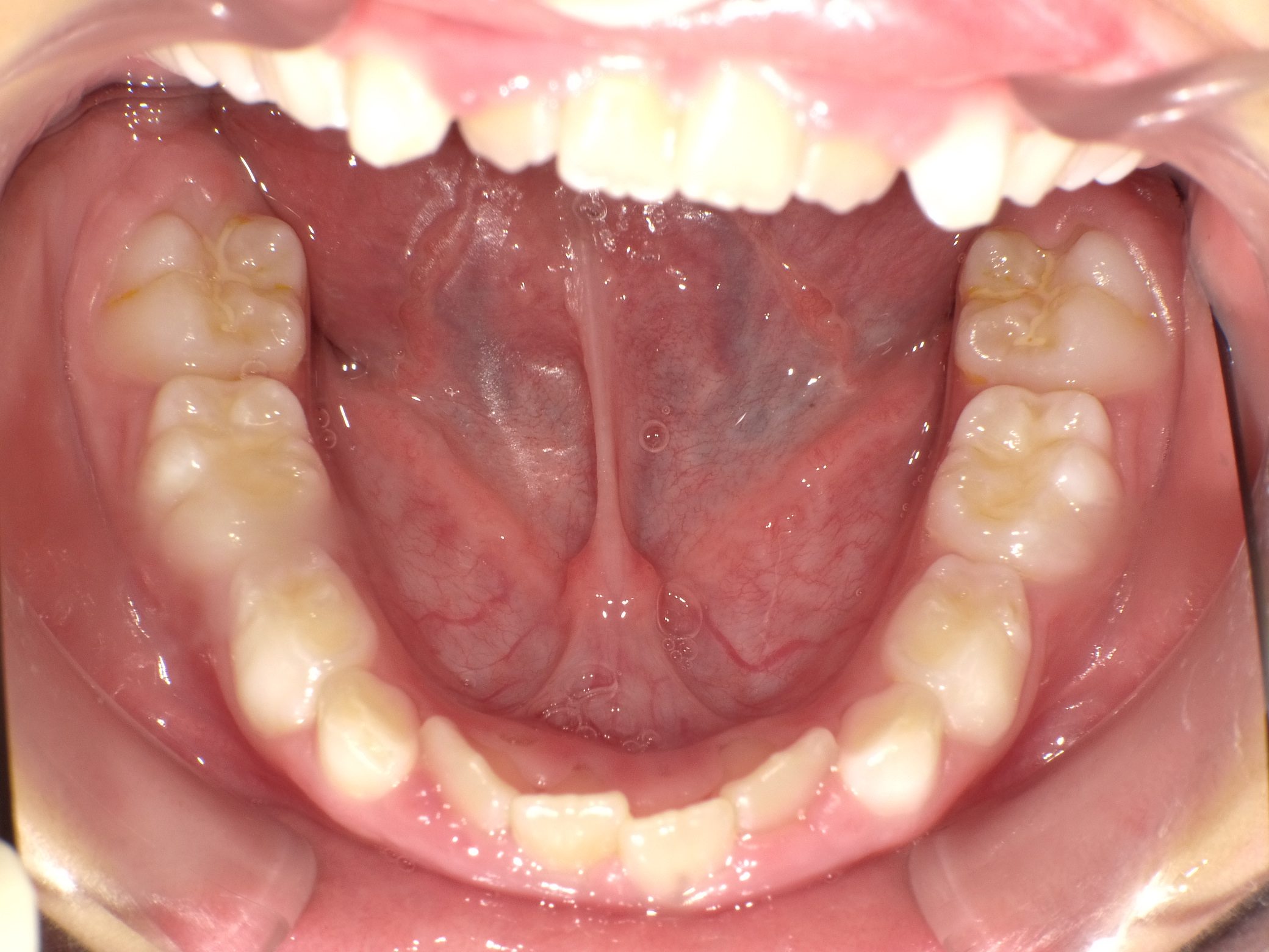
Before
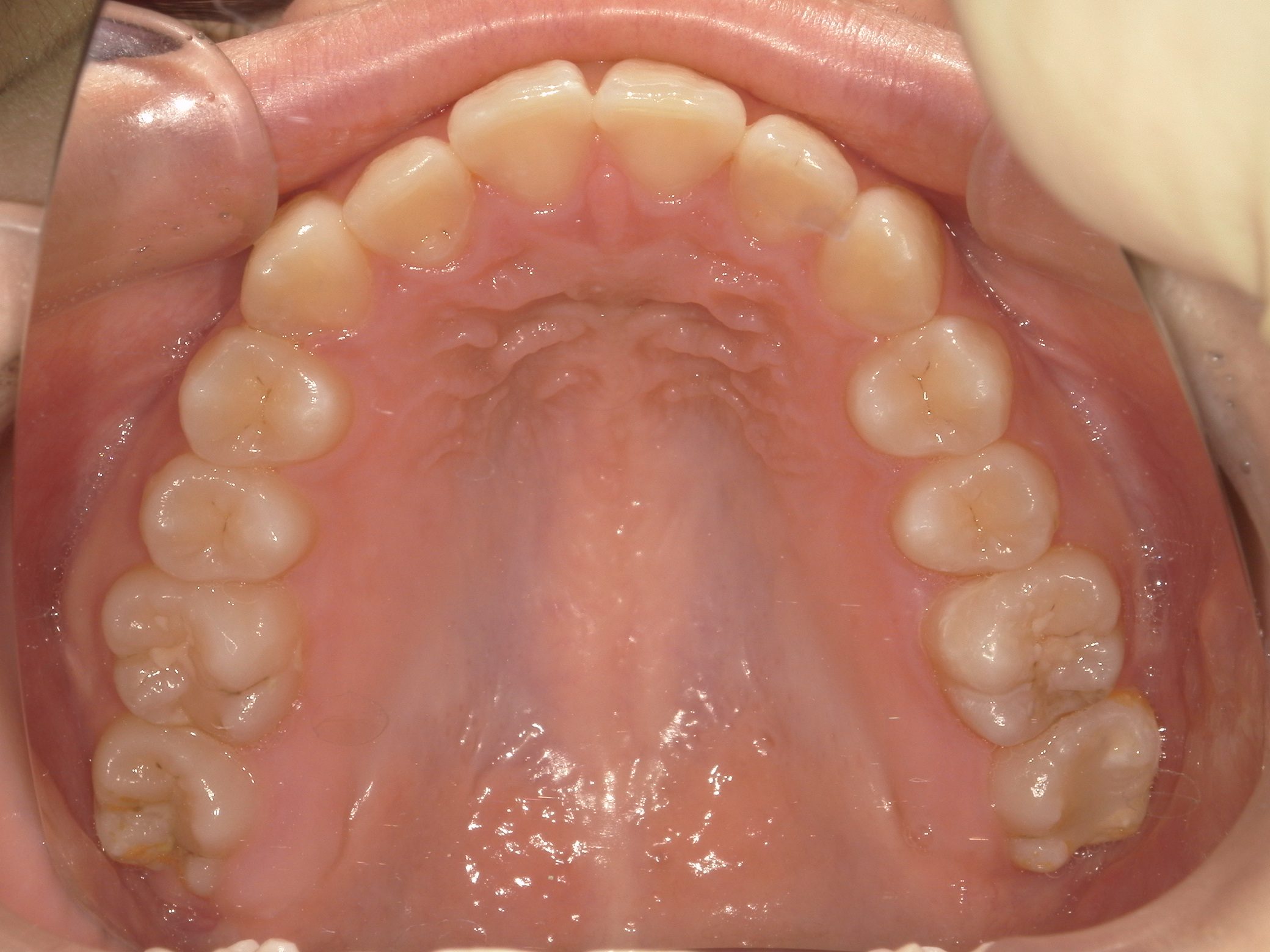
After
治療期間
3年年
治療開始
8歳
種類
マイオブレース矯正 + インビザライン矯正
使用装置
マイオブレース 3Dリンガルアーチ インビザライン
コメント
1期治療後 叢生(でこぼこ)が少し残ったので インビザラインで治しています
現在も 維持してくれています
矯正治療についての注意事項
治療経過は個人によって異なり、治療期間、治療に使用する装置も異なります。
矯正治療中は虫歯や歯周病のリスクが高まることがありますので丁寧にブラッシングを行っていただく必要があります。
また、矯正治療においては、歯茎がやせて、歯茎が下がる(歯肉退縮)可能性もあります。
もともと、歯周病があったり、歯並びの凹凸が大きいと発症しやすい傾向にあります。
また、希ではありますが、歯根吸収(歯の根が短くなる)や歯の神経に問題がでるといったことが起ることもあります。
ひかる歯科ちえこども歯科で小児矯正(1期治療)をすると
永久歯を抜かずに矯正できる確率が上がります。
上下の顎の成長バランス(骨格)を整えるため、お顔立ちにも良い影響が与えられます。
お口の癖を治すことで(口腔機能改善)上下顎の成長をよい成長方向の軌道に乗せることができます。
お口の癖を治すこと(口腔機能改善)にしっかり取り組むため、矯正後の歯並びの後戻りが少ないです。
«
前の記事へ
一覧へ戻る
次の記事へ
»
カテゴリー
新着
小学生で開始
中学生以降
マイオブレース
インビザライン ファースト
インビザライン フル
でこぼこ
出っ歯
受け口
開咬
過蓋咬合
その他(すきっ歯、異所萌出など)
抜歯
非抜歯
1期治療のみで改善
1期治療+2期治療
2期治療のみ
マイオブレース矯正について
インビザライン矯正について
小学生までの矯正について